– White Cool Whitening –
ホワイトクールホワイトニング

歯肉保護が要らない画期的なホワイトニング
しみない
痛くない
熱くない
食事制限不要
患者様の負担を軽減し、ストレスを感じない心地いいホワイトニングを提供
ホワイトニングパウダー、AERICA、過酸化水素水の3つを練和してホワイトニング剤を作ります。
クリスタルのマイクロパウダーに特殊な触媒を組み合わせ、光触媒を使用して酸化反応をコントロールしています。
従来よりも安全で、簡単な施術方法で歯にほとんど沁みることはありません。
通常の白濁したような白さではなく、透明感のある仕上がりです。
ホワイトニング1回分の施術費用を低価格に抑えコストパフォーマンスに優れています。
ホワイトクールホワイトニングでは3回の施術(照射)が目安です。
患者様の負担を軽減し、ストレスを感じない心地いいホワイトニングを提供
ホワイトニングパウダー、AERICA、過酸化水素水の3つを練和してホワイトニング剤を作ります。
クリスタルのマイクロパウダーに特殊な触媒を組み合わせ、光触媒を使用して酸化反応をコントロールしています。
従来よりも安全で、簡単な施術方法で歯にほとんど沁みることはありません。
通常の白濁したような白さではなく、透明感のある仕上がりです。
ホワイトニング1回分の施術費用を低価格に抑えコストパフォーマンスに優れています。
ホワイトクールホワイトニングでは3回の施術(照射)が目安です。

シェードガイド | Shade Guide
個人差はありますが、3回照射で平均的に2~3段階変化します。
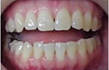
施術前

1回の照射時間10分
[ 30代女性 コメント: ]
ブロック無しでも歯茎に薬剤がしみることはありませんでした。
段階を追って白くなるので違和感がありません。
一度目の通院
1回目

2回目

3回目

二度目の通院
1回目

2回目

3回目
